Laborator de tehnică dentară digitală
Estetică, precizie și functionalitate pentru fiecare restaurare
Atlantis Virtual Lab este un laborator B2B specializat în restaurări CAD/CAM, zirconiu și lucrări pe implant, livrate predictibil și documentat.
Control al calității orientat clinic, nu estetic
Precizie Digitală. Rezultate Predictibile.
Flux CAD/CAM complet, lucrări realizate integral in-house și control
clinic strict pentru restaurări care se potrivesc din prima.
Precizia nu este un avantaj. Este standardul nostru.
Atlantis Virtual Lab este un laborator de tehnică dentară digitală care lucrează exclusiv cu clinici și medici stomatologi.
Fiecare lucrare este realizată in-house, pe un flux CAD/CAM controlat, cu toleranțe micronice și livrare predictibilă.
Un laborator construit pentru medici care vor control, nu improvizație.
Atlantis Virtual Lab este un laborator de tehnică dentară digitală care lucrează exclusiv cu clinici și medici stomatologi.
Am construit un flux de lucru predictibil, bazat pe design CAD/CAM, frezare de precizie și control strict al fiecărei etape, pentru ca rezultatul final să fie constant și clinic sigur.
Pentru noi, tehnologia este doar punctul de plecare. Rezultatul final rămâne mereu același: o lucrare care se potrivește perfect, din prima.
Portofoliu complet de servicii protetice digitale
Lucrăm cu clinici și medici stomatologi pentru realizarea de lucrări protetice digitale, de la restaurări individuale până la reabilitări complexe pe implant, pe un flux CAD/CAM controlat.
Coroane și Fațete Dentare
All on X
Wax up Digital
Gutiere Dentare
Servicii de frezare
PMMA coroane provizorii
De ce aleg medicii AVL ca partener de laborator
Un laborator construit pentru precizie, predictibilitate și colaborare clinică reală. Echipa AVL este rezultatul a peste 7 ani de experiență, investiții continue și pasiune pentru precizie. „În tehnica dentară, nu există detalii minore. Există doar detalii care fac diferența.”
Precizie digitală
Gestionăm comenzile, termenele și etapele de lucru astfel încât fluxul clinic să rămână clar și predictibil.
Consultanță tehnică
Discutăm cazurile înainte de execuție pentru a evita ajustările inutile și riscurile clinice.
Frezare pe 5 axe
Toleranțe micronice și finisaje constante, indiferent de complexitatea lucrării.
Acces digital fișiere
STL-uri, mock-up-uri și informații tehnice disponibile rapid, fără pierderi de timp sau ambiguități.
Materiale premium
Zirconiu, ceramică, PMMA și titan selectate pentru stabilitate, estetică și durabilitate reală.
Control al calității
Verificare clinic orientată: adaptare, ocluzie, margini, estetică – înainte ca lucrarea să ajungă în cabinet.
Evidence-Based Protocols
Standardized pathways follow latest guidelines, audited regularly to ensure consistent outcomes.
Same-Day Diagnostics
Imaging and labs scheduled immediately, shortening time-to-treatment and clarifying next steps.
Suport tehnic
Complex cases reviewed jointly across specialties to reduce blind spots and risk.
Suport tehnic
Interaction checks, allergy screening, and ongoing monitoring to prevent adverse medication events.
Suport tehnic
Stepwise plans with timelines, measurable targets, and checkpoints to track progress.
Precizia începe cu procesul.
Nu cu rezultatul final.
La Atlantis Virtual Lab, fiecare caz urmează un flux clar, controlat și verificabil. Nimic nu este lăsat la întâmplare: de la validarea datelor digitale și designul orientat clinic, până la producția internă și controlul final. Am construit acest proces pentru ca medicii să știe exact ce primesc, când primesc și de ce pot avea încredere — indiferent de complexitatea cazului.Astfel, medicii cu care colaborăm știu exact la ce să se aștepte, indiferent de complexitatea cazului.
Cauți un laborator pe care să te poți baza, nu doar un furnizor?
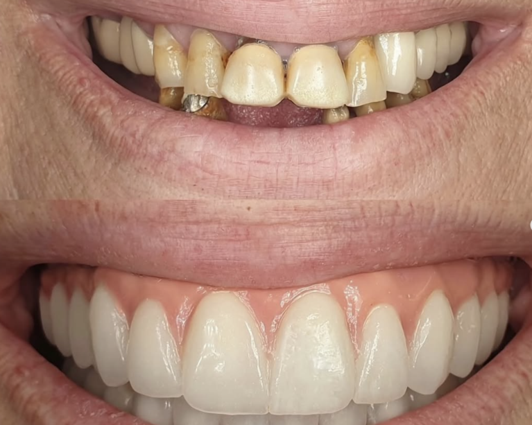
Cazuri și tipuri de lucrări realizate de AVL
Fiecare lucrare AVL este realizată integral in-house, cu focus pe adaptare, funcție și estetică. Mai jos sunt exemple de restaurări și soluții protetice realizate pentru medici și clinici din România.
Reechilibrare estetică frontală
Reabilitare totală maxilară și mandibulară pe implanturi
All-on-4: reconstrucție totală, cu planificare digitală
Tratament multidisciplinar ortodontic și protetic
Feedback real de la medici stomatologi și clinici partenere.
Feedback real de la medici stomatologi și clinici partenere.
Tudor Popescu
Ana-Maria Ionescu
Ghita Diana
Antonia Mihailescu
Spune-ne ce tip de lucrări realizezi și vedem dacă AVL este partenerul potrivit pentru tine.
Noutăți și perspective din
protetica dentară digitală
Conținut documentat din laborator, creat pentru medici care caută precizie, predictibilitate și soluții aplicabile.
Ce așteaptă un laborator de la un medic (și invers)
Standardizarea nu omoară personalizarea. O face posibilă.
De ce unele lucrări „merg din prima”, iar altele nu
Stomatologia în 2026: mai puțin despre tehnologie, mai mult despre claritate
De ce contează eficiența construită corect într-un laborator dentar
Ce așteaptă un laborator de la un medic (și invers)
Standardizarea nu omoară personalizarea. O face posibilă.
De ce unele lucrări „merg din prima”, iar altele nu
Stomatologia în 2026: mai puțin despre tehnologie, mai mult despre claritate
De ce contează eficiența construită corect într-un laborator dentar
AVL
Precizie Clinică
Control Total
Predictibilitate
Standard Ridicat
Precizie Digitală
AVL
Precizie Clinică
Control Total
Predictibilitate
Standard Ridicat
Precizie Digitală
Adresa noastra
Program de lucru
Solicită o colaborare
Lucrăm exclusiv cu medici și clinici stomatologice care caută precizie, predictibilitate și un partener de încredere în protetică digitală.
