Caz clinic – Tratament multidisciplinar ortodontic și protetic
Caz clinic:
abordare etapizată
Indicație principală
restaurare protetică
Tip pacient
Echipă medicală
Chirurgie: Dr. Emanuel Kolanovschi
Protetică dentară: Dr. Andreea Cornea
Laborator de tehnică dentară: AVL
Atlantis Virtual Lab
Categorie pacient
Plan de tratament
de complexitatea cazului
Tratament multidisciplinar pentru reabilitare estetică și funcțională, abordare ortodontică și protetică
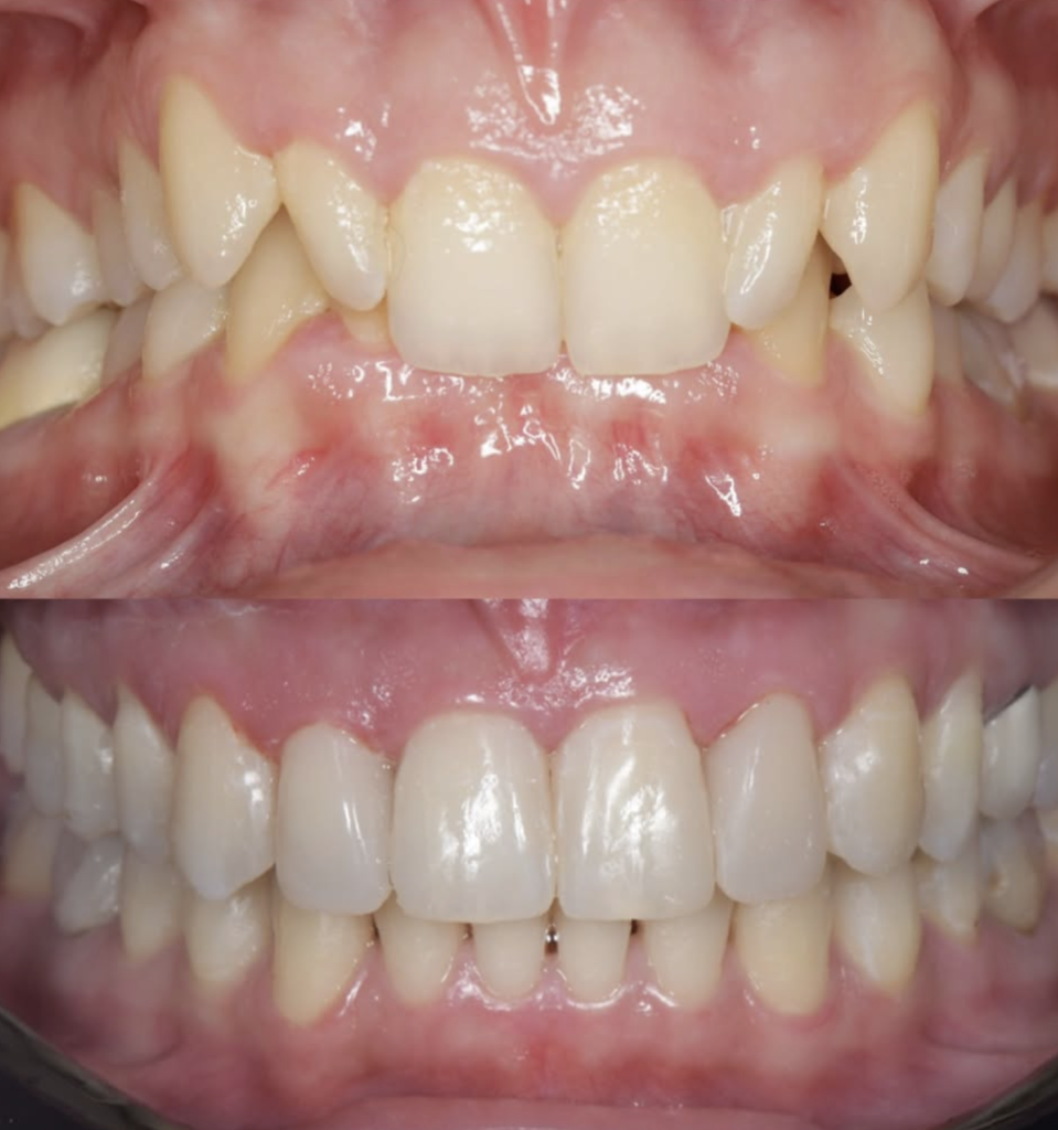
Acest caz clinic prezintă o abordare multidisciplinară, realizată în mai multe etape, care a combinat tratamentul ortodontic cu soluții protetice personalizate. Obiectivul a fost obținerea unui zâmbet natural, armonios și funcțional, adaptat fizionomiei pacientei și stabil pe termen lung.
Planificarea atentă, comunicarea constantă între specialiști și colaborarea cu laboratorul de tehnică dentară au avut un rol esențial în controlul estetic și predictibilitatea rezultatului.
Pacienta s-a prezentat cu nemulțumiri estetice legate de alinierea dentară, forma și proporțiile dinților frontali, dar și cu dezechilibre funcționale apărute în timp. Obiectivul principal al tratamentului a fost obținerea unui zâmbet natural, armonios, stabil pe termen lung, printr-o abordare etapizată și coordonată între specialități.
Soluția tehnică și rolul laboratorului
AVL – Atlantis Virtual Lab a avut un rol esențial în definirea și susținerea soluției protetice pe tot parcursul acestui caz clinic, contribuind activ la transformarea planului medical într-un rezultat estetic și funcțional predictibil.
Implicarea laboratorului a început încă din faza de planificare protetică, prin analiza cazului și corelarea acestuia cu etapele ortodontice, astfel încât fiecare decizie să susțină rezultatul final, nu doar o etapă izolată a tratamentului.
Tratament multidisciplinar pentru reabilitare estetică și funcțională – abordare ortodontică și protetică
Probleme identificate inițial
Provocări ale cazului



Metode de tratament aplicate
Rezultatele obținute până în această etapă reflectă o îmbunătățire semnificativă a esteticii zâmbetului și a echilibrului dentar. Fiecare etapă a fost gândită pentru a susține rezultatul final, cu accent pe naturalețe, stabilitate și integrare armonioasă.
Accentul a fost pus pe naturalețe, echilibru și predictibilitate, evitând soluțiile standardizate sau rezultatele supradimensionate. Scopul nu a fost obținerea unui zâmbet „perfect” în sens artificial, ci a unui rezultat care să pară firesc, stabil și durabil în timp.
